How To Spot A Brain Tumour Early?

Brain tumours, though commonly feared as cancerous, are not always malignant. They are broadly classified into malignant (cancerous) and benign (non-cancerous) tumours. While malignant tumours grow aggressively and can spread to surrounding tissues, benign tumours grow slowly and do not spread, but can still cause significant problems depending on their size and location within the brain. Regardless of type, both require medical attention due to the critical functions governed by different parts of the brain.
Early detection plays a vital role in improving outcomes, minimising complications, and enabling timely treatment. Symptoms often vary based on the tumour’s size, type, and specific location in the brain, but certain signs should prompt a medical consultation.
One of the most common early symptoms is a persistent headache, which may worsen over time and is often more intense in the early morning or when lying down. These headaches are usually different from typical tension headaches and may be associated with nausea or vomiting that has no obvious cause.
Visual disturbances such as blurred or double vision, partial vision loss, or abnormal eye movements can signal pressure on the optic nerves. Similarly, hearing issues or ringing in the ears may occur if the tumour affects auditory pathways.
Cognitive or personality changes such as confusion, memory problems, mood swings, or difficulty concentrating are important early indicators, especially when they are new or progressively worsening. In children, such changes may show up as poor school performance or developmental regression.
Seizures in someone with no previous history of epilepsy should always be investigated, as they can be the first noticeable symptom of a brain tumour. Other neurological signs like numbness, weakness, or lack of coordination, especially on one side of the body, are also concerning.
Speech difficulties, such as trouble understanding or forming words, and imbalance or dizziness, especially when walking, may suggest tumour involvement in language or motor control areas of the brain.
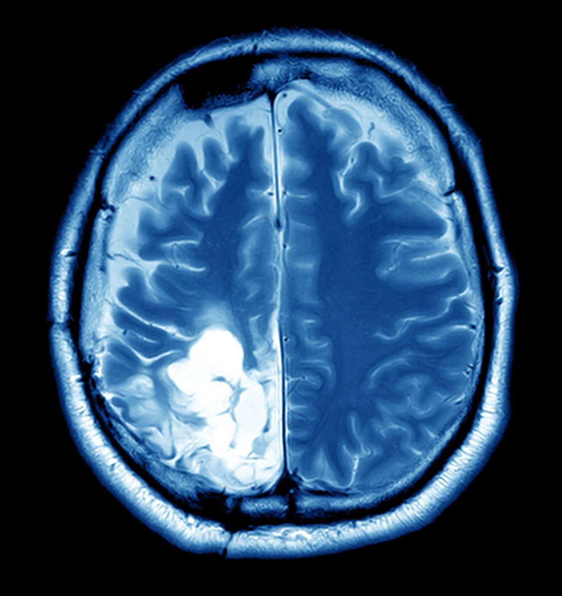
It’s important to note that these symptoms can overlap with more common, less serious conditions. However, if they are persistent, progressive, or unexplained, it is crucial to consult a neurologist. Brain imaging, like MRI or CT scans, can help confirm the diagnosis early.
Raising awareness about these warning signs empowers patients and families to seek help sooner. Whether benign or malignant, early detection of brain tumours significantly improves the chances of effective treatment and a better quality of life.
About the author- Dr. Ananya Das, Consultant, Neurologist, Narayana Hospital, Barasat
